Get your teeth removed affordably and simply with kind, comfortable surgical dental care xo
Wisdom Teeth Removals on the Sunshine Coast.
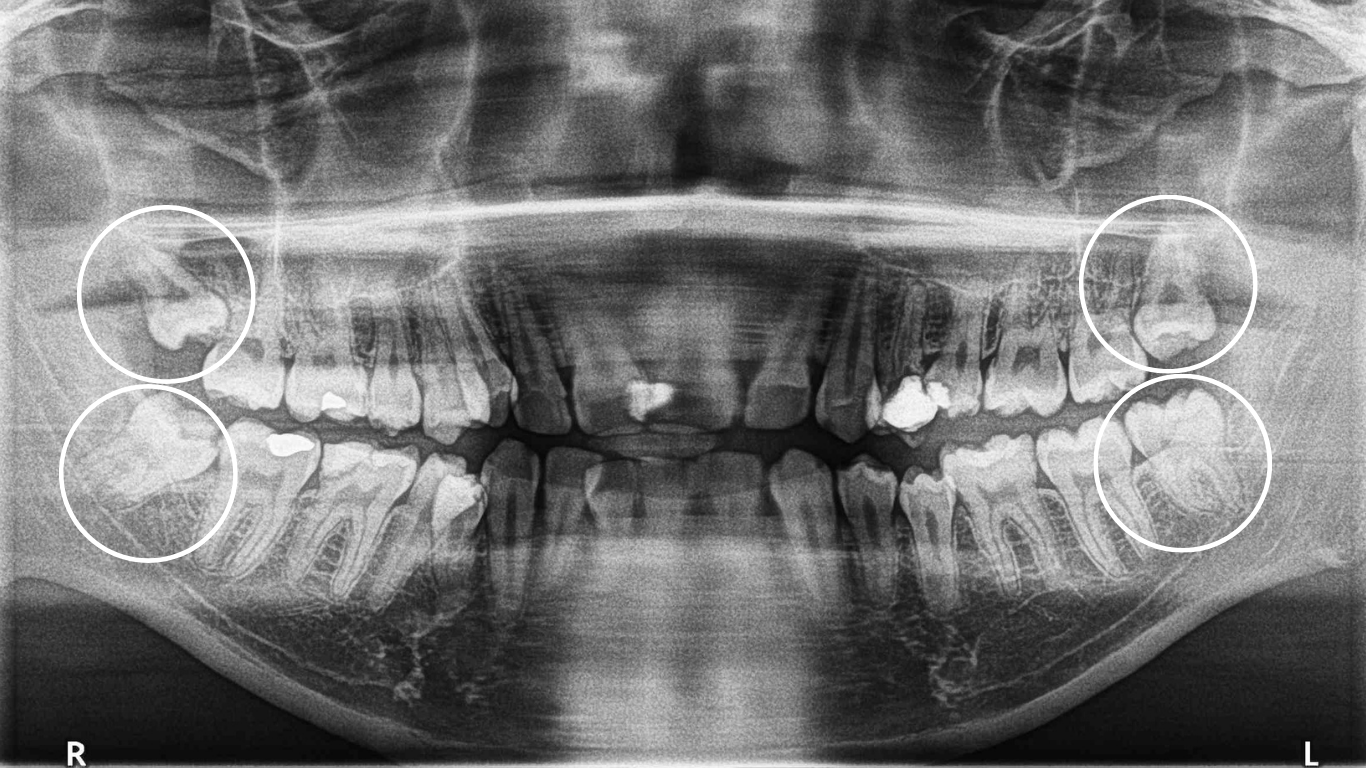
Whether you’ve got erupted or impacted wisdom teeth, one or all four, if you’ve been told you need them removed - we’ll help you get it done the best way for you.
Pay only $1500* for 4 wisdom teeth removals with a consult in one visit.
For 2 non-surgical plus 2 surgical wisdom teeth extractions in one appointment.
Imaging and medical history required at time of booking.
Sedation option add-ons are available for an extra fee - requires a separate consult online or in person.
*Before any health fund rebates are applied - your out-of-pocket gap payment may be far less!
Treatment completed by a female Surgical Dentist with post-graduate Oral & Implant Surgery degrees
.
25 years dentistry experience
.
Hundreds of successful cases
.
Located at Kawana Dental
.
Treatment completed by a female Surgical Dentist with post-graduate Oral & Implant Surgery degrees . 25 years dentistry experience . Hundreds of successful cases . Located at Kawana Dental .
You don’t need to put off getting wisdom teeth removed any longer on the Sunshine Coast
At XO Smiles, you can save on expensive specialist, hospital and GA (general anaesthesia) fees, plus reduce your recovery time off work, by getting your wisdom teeth removed in the normal dental chair under LA (local anaesthetic). *
* Some people do require wisdom teeth removals by a specialist under GA (general anaesthesia), ask us how we can help you get the best care for you
-
Upper wisdom teeth removals are often simple, non-surgical extractions, so are typically the cheapest.
Lower wisdom teeth often require surgical removal, so generally cost more.
*Prices are quoted before health fund rebates or other co-payments are applied. So your out-of-pocket gap may be much less!
-
Most people require two non-surgical (uppers) and two surgical (lowers) wisdom teeth removals, which costs $1500.
It will be cheaper for fewer than 2 surgical tooth removals, and cost more for greater than 2 surgical tooth removals.
*Prices are quoted before health fund rebates or other co-payments are applied. So your out-of-pocket gap may be much less!
-
For the safest and most comfortable wisdom teeth removal experience, we require a consult first to:
update your medical history
update your OPG imaging or get a CBCT if required
check with your GP about some medication interactions if needed
plan for sedation if desired
discuss the procedure, risks, and recovery more specifically for your case to gain your informed consent
suggest alternatives to smoking or vaping for at least a week after your procedure if required
If you can provide us with your updated medical history, current imaging at the time of booking, and only require local anaesthetic, you can complete your consult and wisdom teeth removal at the same appointment and save $150.
*Prices are quoted before health fund rebates or other co-payments are applied. So your out-of-pocket gap may be much less!
-
Dental sedation and sleep dentistry options are available for maximising in-chair comfort, including:
happy gas (nitrous oxide)- ~$200 per hour
oral sedation (benzodiazepine tablet)- ~$10 with script at pharmacy
IV sedation (provided by a qualified medical anaesthetist or dental sedationist) - ~$750 per hour
These services incur an extra fee and may require a separate consult appointment - ask our friendly receptionist when booking
-
Options include:
Ezidebit
Denticare
Check with reception at Kawana Dental on 07 5444 7111 for more details
All procedures completed by Dr Christine May, Surgical Dentist @ Kawana Dental
Christine has completed a post-graduate Masters in Oral Surgery from Griffith University, Gold Coast, Qld, a Diploma in Oral Implants from the Australasian Academy of Dental Practitioners, Sydney, NSW, in addition to a Bachelors in Dental Surgery with Honours from Sydney University, giving her advanced skills and experience in wisdom teeth removal and surgical dentistry.
Christine has been practising as a general dentist for over 25 years across Australia.
Christine has completed hundreds of wisdom teeth removals - some easy, many highly complex - in the dental chair using local anaesthesia, often along with additional conscious sedation options like happy gas, oral sedatives, or IV sedation.
Removing your wisdom teeth stops future pain, infections, and life drama xo
-
Involve the partial eruption of a wisdom tooth, where it gets stuck and can’t fully erupt.
It can get stuck against another tooth or the jaw bone. Often, these teeth are tilted sideways instead of upright.
These wisdom teeth are vulnerable to future complications, such as decay and gum irritation, causing pain and infection and are best removed.
-
Involves inflammation, swelling, pain, and in severe cases, infection of the gum around a wisdom tooth.
It usually happens when the tooth is partially erupted through the gum.
It can recur and is one of the most common reasons for tooth removal.
-
Involves a hole in a wisdom tooth, usually because they are so hard to clean, being located far back in the mouth.
In other teeth fillings can be done. But for wisdom teeth, it’s much more difficult and often doesn’t last very well due to their location.
This is another common reason for removal.
-
Less frequently, changes in the bone around wisdom teeth can become problematic, like developing cysts or infections. These require wisdom tooth removal to preserve normal jaw anatomy and function, and prevent bone weakening or fractures.
Not everyone needs their wisdom teeth removed. Some grow normally and are easy to maintain, some never grow. But for many people, problems with wisdom teeth do develop. These include:
Get your free wisdom teeth x-ray review and cost estimate xo
No obligation. No hassle. No cost.
If you’ve already got an OPG x-ray less than 2 years old, upload it via the link below, share some health info, and get a free estimate from Dr Christine May within 24 business hours.
You may have heard some hectic stories about wisdom teeth removals, but your own story can be better at XO Smiles
You won’t feel any pain during the procedure
We’ve got plenty of LA - local anaesthetic - to make you very numb.
You’ll feel pushing and vibration pressure - like a massage, and hear some crackling-like sound effects in your ears.
Four wisdom teeth typically take about an hour to remove, including the time to make you properly numb.
We like to turn the music up loud - you can choose the tunes that help you feel most comfortable, if you like!
You’ll be dosing up on analgesics and ice packs for a few days
You’ll probably have swollen cheeks like a chipmunk and limited mouth opening, but you will be comfortable.
We have some tips to share with you to help you navigate this part of your recovery as quickly and smoothly as possible.
You’re going to have 3 days off for recovery from work or study
You’ll want to video stream and chill for a few days and not talk very much.
It’s kind of like strapping in for a long-haul flight, except you can choose your soft, mushy food to eat.
Tough exercise sessions that get the blood pumping will be on hold during this time, but light walks are encouraged.
We can provide you with a medical certificate on the day of the procedure if you need.
You’re going to have your own wisdom teeth removal story to share!
Probably it’s going to be far less dramatic than many of the circulating stories we hear about.
With careful planning from us, using the latest imaging technology, and good home care by you - following our simple instructions - you’ll be back to normal life, usually in about a week.
Frequently asked questions about getting wisdom teeth removed at XO Smiles
Still have questions? Take a look at the FAQ or reach out anytime. If you’re feeling ready, go ahead and book a consult.
-
At XO Smiles, wisdom teeth removals are priced from $295 to $550 per tooth, depending on whether the tooth is simpler to remove or requires a complex surgical extraction. Typically, upper wisdom teeth are simple, and lower wisdom teeth are surgical - but not always!
-
At XO Smiles, all four wisdom teeth in one visit typical cost ranges from $1000 to $1995, with $1500 being the most common, involving two non-surgical uppers and two surgical lower teeth extractions.
-
Yes, many wisdom teeth can be removed in the normal dental chair under local anaesthetic, which may reduce hospital, anaesthetist and general anaesthesia costs for you.
-
No, if you already have a recent OPG X-ray image and a simple medical history and are happy with local anaesthesia only.
Yes, if you need imaging completed, have more complex wisdom teeth removals to plan, or want a dental sedation option for your procedure.
-
No. Some wisdom teeth grow normally and are easy to maintain, while others never erupt into the mouth.
Removal is usually considered when there are problems such as impaction, over-eruption, pericoronitis, decay, cysts, or infection.
-
You won’t feel any pain during the procedure because local anaesthetic is used to make you very numb, although you can expect to feel pushing and vibration sensations - somewhat like a deep tissue massage!
-
If you have any surgical wisdom teeth removals, you should plan on at least 3 days off work or study, with most people getting back to normal life in about a week.
Ultimately, it depends on the difficulty of the procedure and the individual and their medical history.
XO Smiles can provide medical certificates if required.
-
We strongly recommend avoiding smoking or vaping for at least a week after wisdom teeth removals.
We recommend alternatives including patches, edibles, or oils as a delivery substitute for your favoured substance.
-
Yes, speak to our reception staff about Ezidebit or Denticare payment plan options.
